Invisible Alignersマウスピース型矯正

当院では、
マウスピース型矯正
(インビザライン・スマーティー)
行っております。

矯正治療を一般歯科併設でやるメリットはたくさんあり、
・抜歯が必要になった時
・虫歯のチェックや治療が必要になった時
などに、わざわざ他院に行かなくても当院で行えます。
また、歯科衛生士が在籍しておりますので、定期的に歯のクリーニングも行えるのもメリットの一つです。

さらに、口腔内スキャナー(itero)を導入しており、従来の型取りの方法ではなく、お口の中を撮影(スキャン)するだけで精密な歯型が取ることができますので、患者さんの負担も少なくすみます。
インビザライン治療では、矯正治療前と矯正治療後のシュミレーションも行えるので、事前に治療のイメージをつかんで頂くことも可能です。

INVISALIGNインビザライン

インビザラインは、透明で薄いマウスピースタイプの矯正装置(アライナー)で、ほとんど目立ちません。
1999年より販売を開始し世界で1500万人以上を超える人が素敵なスマイルを手に入れています。
インビザラインの強みは、なんといってもトップシェアならではの、膨大な症例数!!
その都度、改良・進化し続け難症例と呼ばれるケースも対応が可能になってきています。
そして、優れた特性を兼ね備えていることから、世界中でもますます人気が高まってきており、国内外の歯科医師からの信頼も厚いです。 また、口腔内スキャナー(itero)で精密な歯型のデータを取得し、クリンチェックという3Dシミュレーションで歯の動きや最終的にどんな歯並びになるかを確認してから治療に入れるので、納得して治療を進められる安心感もあります。
治療期間は軽度の症例なら数か月、重度の症例なら1~2年程度です。(個人差がございます。)

インビザラインの特徴

・世界シェアNo1の実績があり、安心
・透明で目立ちにくい
・口腔内を健康な状態に保つ
・取り外せるので、食事がしやすい
・基本的には月1回の通院でOK(処置がある場合を除く)

こんな人にオススメ

・人にバレたくない ・歯を抜きたくない

治療の流れ

  • 01.初診・カウンセリング

  • 02.診断のための精密検査

  • 03.治療計画の説明

  • 04.マウスピース発注

  • 05.治療開始

  • 06.経過観察 矯正治療の進捗状況やお口の中のトラブルがないか確認をするために、定期的に通院をしていただきます。

  • 06.治療完了・定期検診 治療完了後は、歯の後戻りを防ぐためにリテーナー(保定装置)を入れて頂きます。

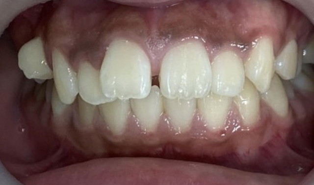
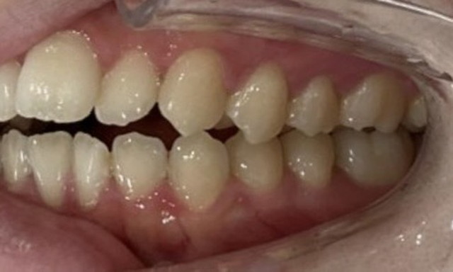
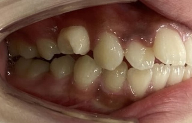
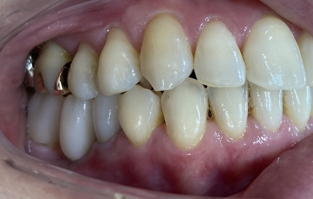
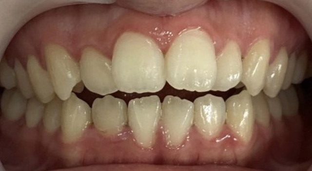
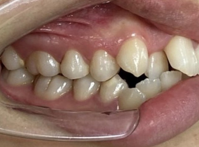
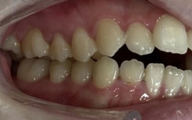
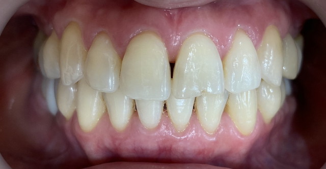
症例紹介

  • インビザラインフル 叢生

    治療期間約3年

  • インビザラインフル 開咬

    治療開始から約1年

  • インビザラインフル 空隙・捻転

    治療開始から約1年

  • インビザラインフル 叢生(抜歯あり)

    治療開始から約1年

料金

種類 保証 追加アライナー期限 枚数 金額
フル 5年 5年以内何回でも 制限なし 900,000円
モデレート 3年 2年以内2回まで 26枚 750,000円
ライト 2年 1年以内1回まで 14枚 680,000円 / 片顎 460,000円
ファースト 18か月 18か月以内何回でも 制限なし 480,000円

INVISALIGNSmartee(スマーティー)

Smartee(スマーティー)は、インビザラインと同じ歯並びを整えるための透明で薄いマウスピースタイプの矯正装置で、中国・上海を拠点とし、20年以上の実績を誇る信頼のあるブランドとして、今では世界52か国以上に展開、100万人を超える治療実績を持ちます。
マウスピース矯正と言えば、『インビザライン』ですが、インビザラインとほぼ同等のシュミレーションシステムを持っていて、《顎の位置を誘導・調整する機能》がマウスピース自体についています。
ラインナップは、顎の位置調整が可能なGS、歯並びの軽度・中等度・重度に対応するGE、さらに成長期のお子様向けのKinderやteenなど多様なニーズにも対応可能です。

Smartee(スマーティー)の強みは、
・下顎のズレが原因となっている歯並びの方(治療の制限あり)
・抜歯や外科手術が必要と診断された方
などにとって、有力な選択肢の1つになると思います。

そして、Smartee(スマーティー)は、世界的にはまだまだ新興勢力な分、費用面が戦略的に抑えられている傾向があるので、インビザラインよりも低価格での治療が可能となっています。

スマーティーの特徴

・透明で目立ちにくい
・口腔内を健康な状態に保つ
・食事がしやすい
・下顎の位置もある程度は治療可能(制限あり)
・低価格
・少し硬いマウスピースなので、動きが早い

こんな人にオススメ

・顎位の調整ができるので、顎関節症の人にもオススメ
・小児矯正の場合、筋機能トレーニング(※)付なので、後戻りが少ない
(※)筋機能トレーニング・・・舌癖がある場合、舌を正しい位置に置く訓練

料金

種類 保証 枚数 追加アライナー 金額
GS 6年 制限なし 制限なし 900,000円
GE インフィニティ 6年 制限なし 制限なし 750,000円
GE エクスプレス 3年 40枚 3回 680,000円
GE ライト 3年 25枚 2回 480,000円
GE ミニ 1年 10枚 1回 330,000円
Kinder 2年 制限なし 制限なし 650,000円
teen 5年 制限なし 制限なし 650,000円

ご自身の症状・ご希望に合った最適な治療法を見つけることが大切です!
当院では初回の矯正相談は無料となりますので、お気軽にお問い合わせください。

〒343-0031 埼玉県越谷市大里41-4
TEL 048-970-4666

駐車場あり
医院斜め向かい「大里駐車場」の「3・5・26・30・32」をご利用ください。

審美診療時間

午前の部
(13:00まで)

10:00
院長
10:00
院長
9:00

10:00
院長
10:00
院長
10:00
× ×
午後の部
(14:30から)

18:00
院長
19:00
院長
17:00

18:00
院長
19:00
院長
18:00
× ×

●=院長診療 / 〇=担当医診療 / ×=休診

一般歯科診療の時間はこちら

みゆき歯科 ©